ご予約を確認するには事前の登録が必要となります。
下記QRコードを読み取ってご登録をお願い致します。
- ご登録手順
 - 1.QRコードをスキャン
2.URLをクリック
3.患者番号と生年月日を入力
※IDは患者様番号になります。
4.ログインをクリック
5.メールアドレス登録を押す
6.メールアドレスを入力
7.登録を押す
8.登録完了 

診療科目案内
当院の症例紹介
審美歯科
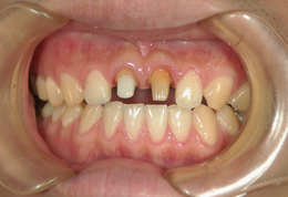
33歳男性/上顎前歯 ジルコニアセラミック治療
以前に治療した所が変色し、色が気になるということで、 色の変わらないジルコニアセラミックで治療しました。
![]() 治療前  | 
                ![]() 治療後  | 
              
60歳女性/ インプラントを使用したドルダーバー上の総義歯
上の義歯が会話をすると落ちてしまい、食事の時にはずれてしまう。 上顎前歯の口唇側の骨の吸収が激しく、義歯修復でないと下の前歯が 収まらないために、ドルダーバーを使用して義歯修復しました。
![]() 治療前  | 
                ![]() 治療後  | 
              
56歳女性/ インプラントとメタルボンドセラミックによる固定修復
上顎の総義歯が動いて噛むと落ちてくる。 義歯の臭いが気になるということで来院。 上顎の奥歯と下顎の左右奥歯にインプラント治療して、 メタルボンドセラミックで固定修復しました。
![]() 治療前レントゲン写真  | 
                ![]() 治療後レントゲン写真  | 
                ![]() 治療後写真  | 
              






























