ご予約を確認するには事前の登録が必要となります。
下記QRコードを読み取ってご登録をお願い致します。
- ご登録手順
- 1.QRコードをスキャン
2.URLをクリック
3.患者番号と生年月日を入力
※IDは患者様番号になります。
4.ログインをクリック
5.メールアドレス登録を押す
6.メールアドレスを入力
7.登録を押す
8.登録完了

一般治療(虫歯、歯周病、3Mix)
3Mix治療法
虫歯は感染症です。しかし歯牙は硬組織であり、他の身体の感染症のように抗生剤や抗菌剤を服用してもその効果が届きません。3Mix法は3種類の効果の異なる抗生剤と抗菌剤を使用します。嫌気性菌や好気性菌などの幅広いスペクトルで感染した歯垢を無菌化して治療する方法です。

メリットは
- 歯を削る量が少なくて済みます。
- 歯の神経を取らないで治療できる可能性があります。
- 歯並びのために乳歯を残しておきたい症例には有効です。
※しかし全ての歯に応用できるわけではありません。
支台を立てなくてはならない歯は、歯根を利用するために神経を残せなくなる場合もあります。
※象牙質まで進行した、ある程度深い虫歯にのみ応用します。
※私たちのクリニックでは特別に料金はいただいておりません。
Docs Best Cement(ドックベストセメント)
従来の治療法では、虫歯が大きいと歯の神経をとる治療をする必要がありました。
歯の神経の治療は痛みが出やすく、治療回数がかかります。
さらに、歯の神経を取った歯は弱くなり、歯が折れたり、歯の根の先に膿がたまってしまうこともあります。
ドックベストセメントはアメリカで開発されました。殺菌力をもつ銅のイオンが入ったセメントを意図的に残した虫歯の上におき、虫歯の原因菌を殺菌して無菌化を目指します。
| メリット | デメリット |
| 歯を削る量を少なくできる | 保険が非適応 自費料金表はコチラ |
| 痛みが少ない | 虫歯の深さや大きさによって神経を取る必要がある |
| 治療回数が少ない | セメントの色が歯の色と違い、前歯など審美性を重視する部位には適さない |
| 歯の神経を取る必要がない |
虫歯の状態によって、適応症かを判断します。詳しくは担当医までお問い合わせください。
※しかし全ての歯に応用できるわけではありません。
支台を立てなくてはならない歯は、歯根を利用するために神経を残せなくなる場合もあります。
※象牙質まで進行した、ある程度深い虫歯にのみ応用します。
歯周病は
口腔内に歯が存在するかぎりだれもがかかりうる細菌感染症です。しかし歯周病の原因を知り、生活習慣を改めることにより、だれでもが予防しうる細菌感染症でもあるのです。
少し詳しく説明します。
歯周病の直接の原因は、歯牙に汚れ(プラーク)がたまることから始まります。このプラークは食物中の糖分と口腔内細菌から作られ、約90%は細菌です。(位相差顕微鏡で確認できます。)
この状態が長く続くと歯周組織(歯肉・歯根膜・歯槽骨が)炎症を起こし、破壊され歯肉ポケットが形成されます。このポケット内側には約380種類・1億個(1mg中)の細菌がいて、体との間で免疫応答といわれる戦いが繰り広げられます。
その結果、歯の動揺や脱落が起こります。
そしてさらにストレスや老化・免疫力の低下などにより全身にいろいろな症状が現れてくるのです。
歯周病と全身の関わりについて
近年、歯周病の原因菌やその産生物が血流を介して遠隔臓器や組織に運ばれ、そこで器質的変化や機能障害を起こし、多様な全身障害が起こることがわかってきました。
歯周病と関連が深い疾患として
- 糖尿病
- 心筋梗塞
- 脳梗塞
- 動脈硬化
- 骨粗鬆症
- 未熟児出産
等が知られています。
さらに、胃炎や、嚥下性肺炎などの呼吸器疾患などもみられます。
私たちの歯周病に対する考え方
私たちのクリニックでは、歯周病に対しても積極的な治療とケアーを行っています。 |
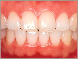
健康な歯肉と歯周病の歯肉
| 健康な歯肉 | |
|---|---|
![]() |
歯肉が健康なとき、歯は歯周組織(歯肉、歯根膜、セメント質、歯槽骨)によってしっかり
保持されています。 正常な歯肉は淡いピンク色で 引き締まっています。 |
![]() |
|
| 歯肉炎の歯肉 | |
![]() |
歯肉が炎症を起こすと、赤くつやがあることもあり、磨くと出血しやすく、触れると痛むことが あります。 炎症は歯肉に限局して仮性ポケットが出現します。(アタッチメントロスなし) |
![]() |
|
| 軽度歯周病の歯肉 | |
![]() |
歯肉の炎症が進行してくると、発赤、腫脹が著しくなり磨くと出血します。 歯の支持組織にも炎症が進み、歯周ポケットが形成され骨の吸収も始まります。 |
![]() |
|
| 重度歯周病の歯肉 | |
![]() |
歯周病がさらに進むと、歯の支えの多くを失い、骨吸収が歯根長の1/2以上になると歯はぐらつきはじめ、膿が出はじめてくると口臭もひどくなり、
やがて歯が抜けてしまいます。 (アタッチメントロスを伴う) |
![]() |
|
































